La DENT en 2026

Du composite … à la Vertiprep

LE CONFÉRENCIER:

Dr Hugues de Belenet

Dr Hugues de Belenet, omnipraticien libéral et formateur basé à Marseille. Il a orienté sa pratique vers une dentisterie contemporaine, respectueuse des tissus dentaires, mécaniquement robuste et esthétiquement maîtrisée. Reconnu pour la clarté de sa pédagogie et la qualité de son iconographie, il apportera à cette formation des compétences immédiatement applicables en cabinet.

LES OBJECTIFS

À l’issue de ces deux jours de formation, les participants seront capables de :

  • maîtriser les protocoles d’adhésion et d’isolation adaptés aux dents postérieures fortement délabrées

  • appliquer une stratégie de traitement des caries profondes et des dents dépulpées ou à dépulper

  • choisir et réaliser une restauration directe en composite ou une restauration prothétique (onlay/overlay) selon l’approche biomimétique

  • comprendre et mettre en œuvre la préparation verticale de type Vertiprep : reconstruction du moignon, épaulement inversé, box proximale, provisoire et assemblage final

  • intégrer la logique prothétique-laboratoire dans la séquence clinique (empreinte, essayage, assemblage) avec un regard critique sur matériel et flux numérique

LE PROGRAMME

JOUR 1

Philosophie biomimétique & dentisterie minimalement invasive
– principes biomimétiques
– intérêt clinique
cariologie : histophysiologie, diagnostic pulpaire, prévention
– décision d’intervention
– réparer plutôt que remplacer
– gestion des caries profondes : curetage sélectif, coiffage pulpaire

Isolation & adhésion en secteur postérieur
– astuces cliniques déterminantes
– digue, crampons, ligatures, Téflon
– adhésifs : lequel choisir, comment et pourquoi

Composites directs postérieurs : clés du succès
– débridement et préparation cavitaire
– matriçage et stratification
– gestion des caries sous-gingivales
– cavités adjacentes
stamp technique
– techniques de modelage par injection
(snowplow / injection molding)

DÉJEUNER

Onlays & Overlays : du diagnostic au collage
– indications et décision de recouvrement cuspidien
– formes de préparation
– scellement dentinaire immédiat
– empreinte et temporisation
– choix du matériau
– essayage
– préparation du substrat dentaire
– préparation de l’intrados prothétique
– choix de la colle et technique d’assemblage

Travaux pratiques
– composite direct postérieur
– préparation et collage d’un onlay

JOUR 2

Dent dépulpée : prise de décision clinique
– spécificités biologiques et mécaniques
– est-elle plus fragile ? pourquoi ?
– peut-on coller sur une dent dépulpée ?
– quand indiquer une couronne ?

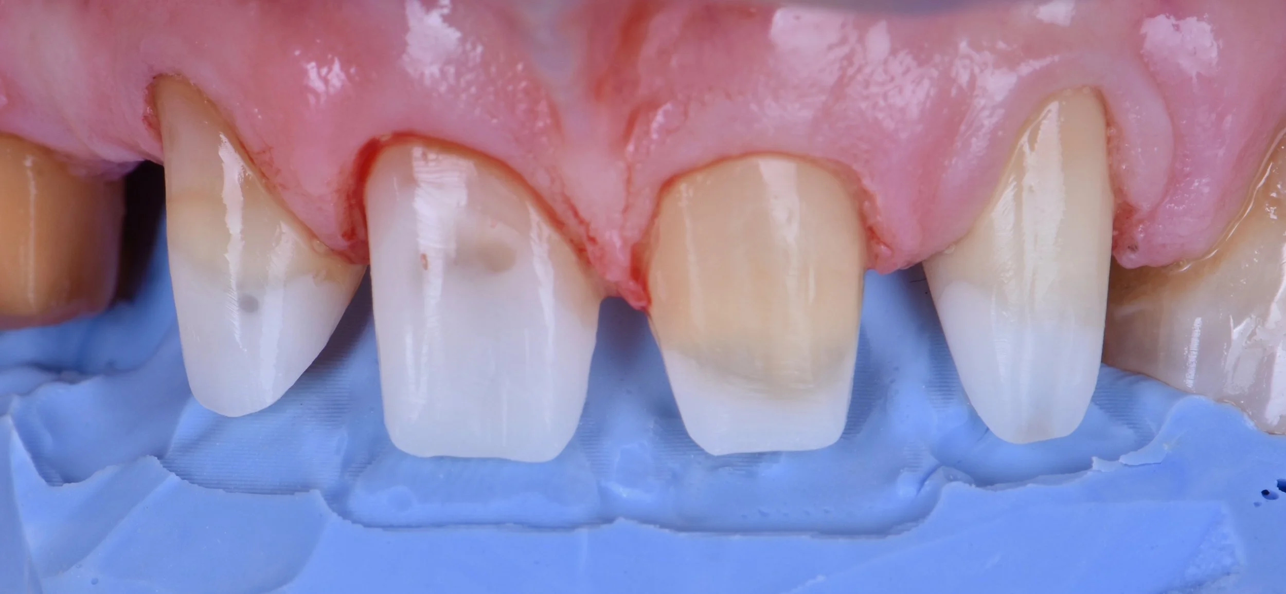
VERTIPREP : changer de paradigme
– pourquoi les limites horizontales ont dominé l’enseignement
– avantages et inconvénients du congé et de l’épaulement
– pourquoi les limites verticales ont révolutionné la pratique

Préparations verticales : concepts fondamentaux
– historique des préparations verticales
– approche edgeless (BOPT) vs shoulderless (Vertiprep)
– indications, avantages, inconvénients, aspects cliniques
– l’espace biologique : définition et implications

DÉJEUNER

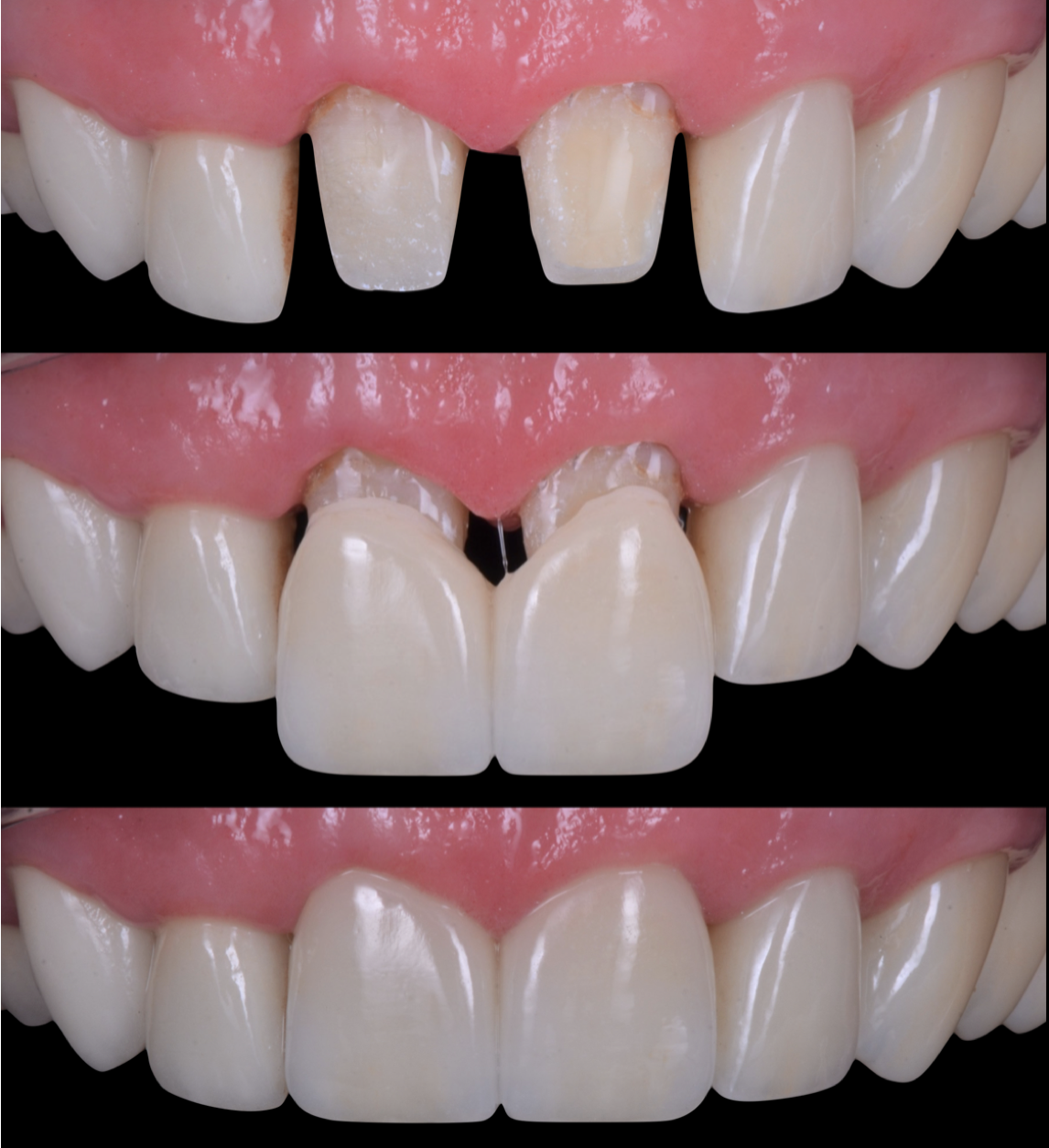
Séquence clinique complète en Vertiprep
– reconstruction du moignon
– préparation
– provisoire : pourquoi et comment
– empreinte : quand et comment
(conventionnelle ou numérique)
– point clé : accès aux limites

Conception et fabrication au laboratoire
– choix du matériau
– lecture de l’empreinte : position de la limite
– concept du spacer inversé
– usinage en excès
– retouche cervicale et polissage « poli-miroir »

Essayage et assemblage clinique
– points de contrôle essentiels
– utilisation du Fit Checker
– protocoles d’assemblage

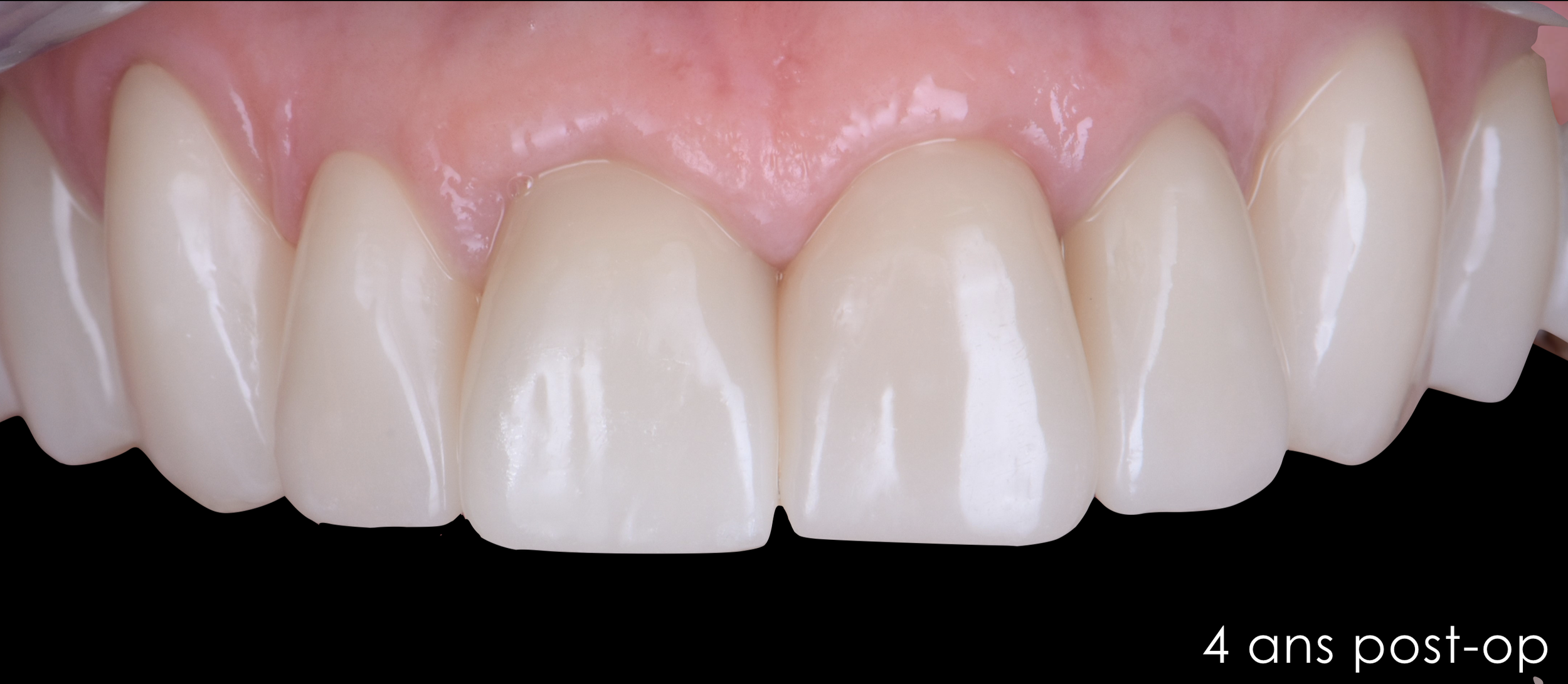
Avantages des Vertipreps
mécaniques : dentine péricervicale, ferrule, réduction des tenons, résistance
biologiques : vitalité pulpaire, étanchéité cervicale, réponse parodontale
esthétiques : stabilité des tissus mous, collets, profils d’émergence
ergonomiques : plus simple, plus rapide

Limites & indications
– erreurs à éviter
– indications cliniques des Vertipreps
– facettes en Vertiprep : possible ou non ?

Travaux pratiques Vertiprep
– isomoulage et guide de coupe
– isolation
– build-up
– préparation Vertiprep
– réalisation du provisoire

NB: L'agenda est susceptible de modifications si les organisateurs jugent nécessaire d'apporter des ajustements.

Comment se rendre à la formation?

Pour rejoindre The Hoxton Brussels, situé au Square Victoria Régina 1, 1210 Bruxelles, vous avez plusieurs options de transport :

Depuis la Gare de Bruxelles-Central :

  • À pied : Environ 15 minutes de marche.​

  • En transports en commun : Prenez le métro ligne 1 ou 5 depuis la station Gare Centrale jusqu'à la station Rogier. L'hôtel se trouve à environ 4 minutes à pied de la station Rogier.​

Depuis la Gare de Bruxelles-Midi :

  • En tram : Prenez le tram 3 ou 4 direction Gare du Nord depuis la station Gare du Midi jusqu'à la station Rogier. L'hôtel est à environ 4 minutes à pied de là.​

  • En métro : Prenez la ligne 2 ou 6 direction Elisabeth depuis la station Gare du Midi jusqu'à la station Rogier.​

Depuis l'Aéroport de Bruxelles (Zaventem) :

  • En train : Prenez un train depuis l'aéroport jusqu'à la Gare de Bruxelles-Nord. De là, l'hôtel est à environ 10 minutes à pied.​

  • En taxi : Le trajet dure environ 30 minutes, selon le trafic.​

Pour planifier votre itinéraire en fonction de votre point de départ, vous pouvez consulter le site de la STIB (Société des Transports Intercommunaux de Bruxelles) ou utiliser une application de navigation en temps réel.

 

Pourquoi rejoindre le biomimethik club?

Nous sommes une académie de dentisterie belge, offrant des conférences et des sessions de formation exclusives aux professionnels dentaires passionnés par l'amélioration continue de leurs pratiques.